




Une aventure sculptée en réalité virtuelle
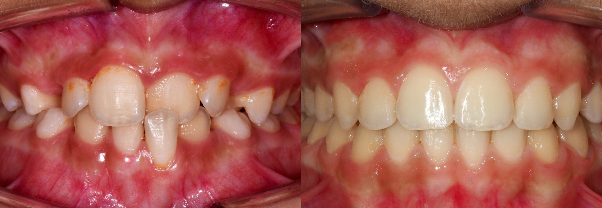
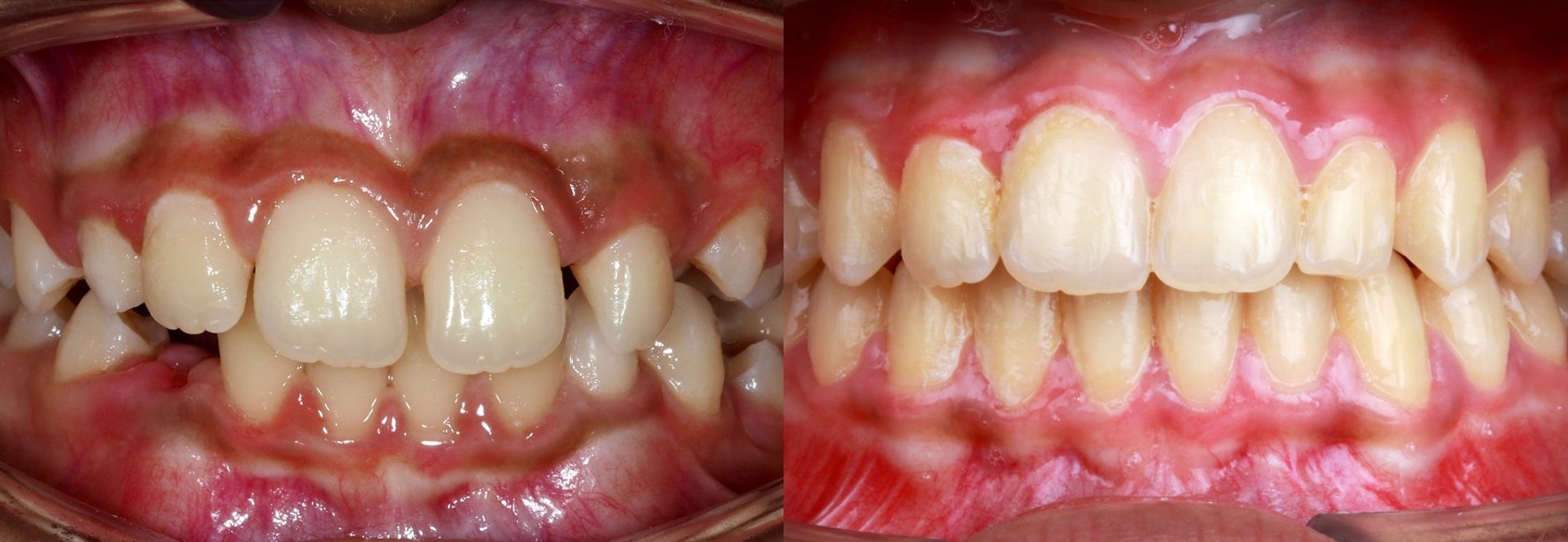
ALIGNEURS TRANSPARENTS G-SMILE Une solution dynamique, efficace et indolore







Contactez-nous :
Adresse :
Central Park Bd Abdelmoumen immeule M 1er étage N° 6, Mohammedia
Téléphone :
0616-745104





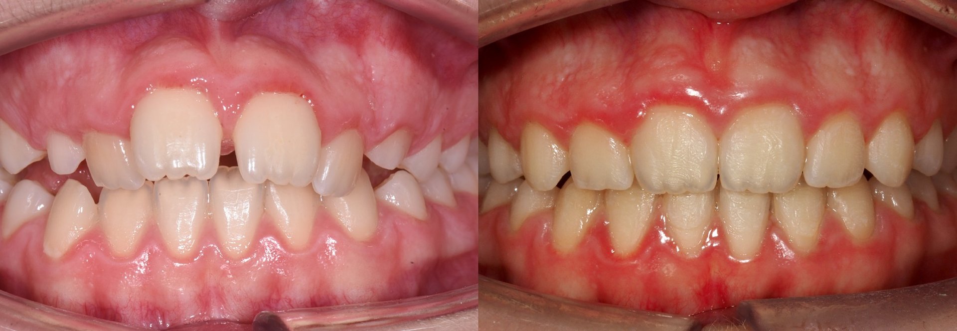
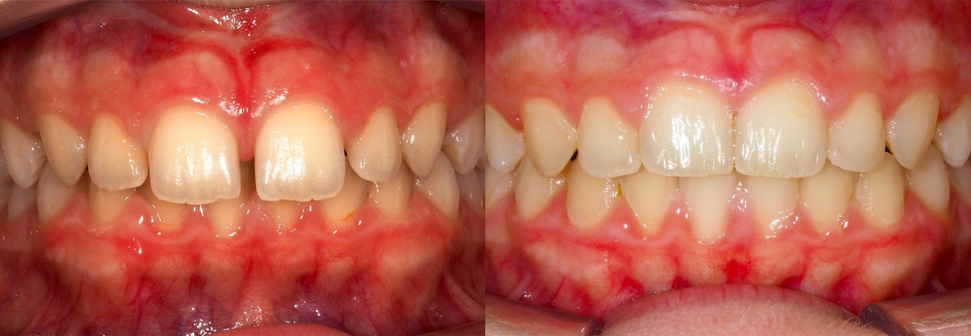
ALIGNEURS TRANSPARENTS G-SMILE Une solution dynamique, efficace et indolore







Central Park Bd Abdelmoumen immeule M 1er étage N° 6, Mohammedia
0616-745104
