ÉTAPE 1 :
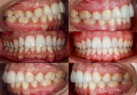
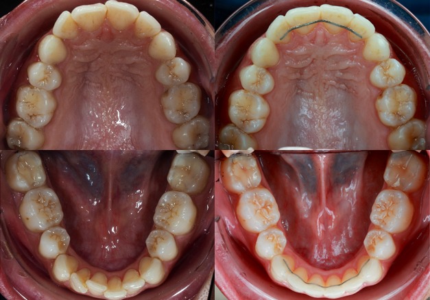
Un bilan orthodontique du patient est réalisé par le praticien et envoyé à G-SMILE comprenant :






Envoyez le dossier de votre patient


Photos Exobuccales :


Photos Endobuccales :
Radiographie panoramique :
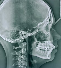
Téléradiographie de profil :


Empreintes physiques ou numériques :
Contactez-nous :
Adresse :
Central Park Bd Abdelmoumen immeule M 1er étage N° 6, Mohammedia
Téléphone :
0616-745104
